前十字靭帯断裂Cranial Cruciate Ligament Rupture
膝関節の前十字靭帯断裂は、外傷や靭帯変性などに起因して生じます。前十字靭帯断裂の治療には、外科手術が必須です。
膝蓋骨脱臼Patellar Luxation
トイプードルなどのトイ種と呼ばれる小型犬に多い膝蓋骨(膝のお皿)脱臼は、後に関節軟骨の磨耗に伴う変形性膝関節症や前十字靭帯断裂を引き起こす可能性の高い厄介な運動器病です
骨折Bone fracture
骨折症例の多くは、整復固定治療直後の運動機能回復と疼痛消失により、普段の活発さを取り戻します。従って、骨癒合までの間、活発さに耐えて初期固定を維持できる安定した固定法が求められます。
椎間板ヘルニア/その他Intervertebral Disc Hernia
椎間板ヘルニアとは、脊椎椎体間にありショックアブソーバーの役割を担う椎間板が、破裂による椎間板物質の逸脱や、椎間板の突出により脊柱管内の脊髄が圧迫され神経傷害を起こす救急疾患です。
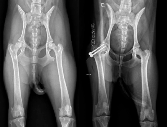
股関節形成不全Hip Displasia
イヌの股関節形成不全は、股関節の緩みや関節炎の原因となる遺伝的疾患です。正常な股関節は、骨盤側の寛骨臼と大腿骨側の大腿骨頭とがしっかりと連結した球状関節を形成しますが、股関節形成不全の場合ではこの連結は次第に緩み、部分的変位または亜脱臼を示すようになります。亜脱臼は、後に関節炎や形成異常の原因となります。
股関節脱臼Hip Dislocation
股関節脱臼は、転倒や同居犬との騒擾、着地失敗、交通事故などが原因で、股関節への強い剪断力が加わったことで生じます。
大腿骨頭壊死症Legg-Calve-Perthes Disease
大腿骨頭壊死症(Legg-Calve-Perthes Disease=LCPD)は、大腿骨骨頭部の成長板への血液供給が不足し、構成骨が虚血により壊死する不可逆性骨疾患であり、ヒトを含む多くの哺乳類で報告されています。
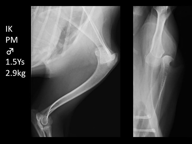
肩関節不安定症/肩関節脱臼Shoulder Instability/Dislocation
トイ・プードルなどの小型犬種に多くみられ、コーギーなどの中型犬種、ラブラドールやバーニーズなどの大型犬種にも認められます。肩関節内側に2本あるV字状の内側肩甲上腕靭帯の伸張や断裂により生じます。
