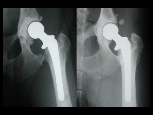
股関節形成不全Hip Displasia ゴールデンレトリーバー2歳オス CFX L:手術直後 R:8年 バーニーズマウンテンドッグ14ヶ月齢 BFX 手術3ヶ月後 イヌの股関節形成不全は、股関節の緩みや関節炎の原因となる遺伝的疾患です。正常な股関節は、骨盤側の寛骨臼と大腿骨側の大腿骨頭とがしっかりと連結した球状関節を形成しますが、股関節形成不全の場合ではこの連結は次第に緩み、部分的変位または亜脱臼を示すようになります。亜脱臼は、後に関節炎や形成異常の原因となります。 イヌ股関節形成不全症の発生には未だに不明な点が多く、遺伝、過剰栄養、エストロゲンの代謝不均衡、運動性の向上などの環境因子が影響しているといわれている。また、動物の急速な成長は股関節コンポーネントの不均衡をもたらし、運動性の増加は未熟な関節に対して過剰なストレスを加え続ける結果となります。 股関節形成不全の治療は、症状や関節変性の強弱により異なります。X線検査で構造異常が偶然見つかった場合でも、明らかな症状が見られない場合には治療の対象にはなりません。症状が軽度の場合には、犬用の非ステロオイド性抗炎症剤(NSAIDs)の投与が有効な場合があります。成長期にあって関節の緩みがあり、かつ変性が見られない場合には、寛骨臼の被覆角度を大きくする骨盤三点/ニ点骨切り術(TPO/DPO)が適応となり、それ以外では股関節全置換術(THR)が最良の治療方法となります。痛みを解消する目的で大腿骨頭を切除する大腿骨頭骨頚切除術(FHO)は、特に大型犬では荷重関節の消失による跛行をもたらすため、非常時の救済的手術法として位置付けられています。 椎間板ヘルニア/その他 股関節脱臼